近日,重庆im电竟网址(陆军军医大学第一附属医院)程伟教授、燕朝均医生团队,联合麻醉科、手术部、超声科等多学科团队,成功应用J-Valve为一位二尖瓣置换术后生物瓣衰败、重度关闭不全的患者进行了经导管二尖瓣置换术(TMVR)。在成员紧密配合下,手术团队克服患者病情复杂、难度高的挑战,修复患者“心门”,为患者带来二次生命的曙光。

病例简介
患者为76岁男性,心力衰竭、心功能差,病情反复,辗转多家医院后最终来到im电竟网址就诊,以“瓣膜术后6年,活动后心悸、气促2年。”为主诉入院。
6年前于外院行二尖瓣生物瓣置换+三尖瓣成形术,植入25mm生物瓣膜。
心脏超声示
二尖瓣人工瓣置换术后:1.二尖瓣人工瓣流速稍增快,二尖瓣人工瓣重度关闭不全;2.左房、右室增大,右房稍大,室间隔稍增厚;3.主动脉瓣回声稍增强,主动脉瓣轻-中度关闭不全;4.三尖瓣中度反流;5.肺动脉内径稍增宽,肺动脉收缩压中-重度增高,肺动脉瓣轻度反流。
二维:二尖瓣位可见强回声伴声尾的人工瓣回声,瓣周未见异常回声。主动脉瓣回声增强。
脉冲及彩色多谱勒综合描述:二尖瓣入工瓣左室侧舒张期流速Vmax=2.3m/s,压差21mmHg;二尖瓣人工瓣左房侧记录到收缩期湍流,Vmax=4.5m/s,范围抵达心房顶部;三尖瓣右房侧记录到收缩期满流Vmax=4.0m/s,范围7.0cm²。
主动脉瓣下记录到舒张期湍流,Vmax=4.0m/s,范围4.0cm²;肺动脉瓣下记录到舒张期湍流,Vmax=2.5m/s,范围局限,估测肺动脉收缩压78mmHg,肺动脉瓣瓣口流速1.5m/s;主动脉瓣瓣口流速1.2m/s。
术前CT评估示
患者二尖瓣生物瓣置换术后,原生物瓣型号未知,生物瓣金属环平均内径19.4mm,外径23.8mm:

瓣架高度15.7mm, 左心室和二尖瓣轴线角度:165°:



主动脉-二尖瓣角度:138.2°:





手术策略
患者为高龄患者,既往行二尖瓣生物瓣置换和三尖瓣成形术。考虑到再次采用外科干预手术风险大,且并发症多。经手术团队综合评估,模拟最佳手术方案和制定化手术流程,最终拟行经心尖瓣中瓣TMVR术。
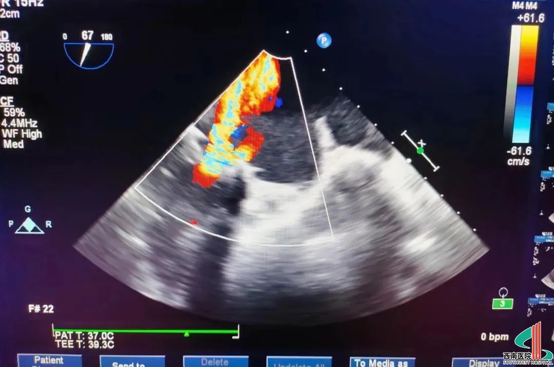
术前食道超声示

手术步骤
经心尖穿刺后送入导丝,建立轨道,球囊扩张,

球囊扩张
送瓣膜置于二尖瓣瓣环处,释放瓣膜,

瓣膜释放
术后造影,结合食道超声评估瓣膜功能良好。
彻底止血,逐层缝合,闭合入路,手术结束。
术后食道超声示

术后总结
本次手术的患者在行二尖瓣人工瓣置换术6年前后,出现了二尖瓣人工瓣重度关闭不全、主动脉瓣轻-中度关闭不全、三尖瓣中度反流以及肺动脉瓣轻度反流等复杂病情,这给手术带来了多重风险,增加了手术难度。程伟教授团队迎难而上,在J-Valve瓣膜的帮助下成功完成了手术。手术完成后,患者症状得到了明显改善。
这次手术的成功,充分展示了重庆im电竟网址心脏外科团队在应对复杂病例时日益精进的专业技艺未来,团队将继续团结一心,为更多复杂、高危的患者提供优质的医疗服务,为患者带来更高效、更安全的保障。(撰写:燕朝均,审核:程伟)
